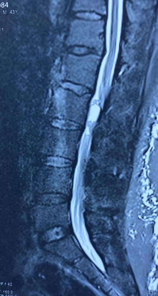
جراحی تومور نخاع کمری که توسط دکتر باغبان انجام شد و توضیحات ایشان در حین عمل را در ویدئوی انتهای این مطل می توانید مشاهده نمایید:
تصاویر قبل از عمل





ویدئو حاوی تصاویر جراحی می باشد:
جراحی تومور نخاع کمری که توسط دکتر باغبان انجام شد و توضیحات ایشان در حین عمل را در ویدئوی انتهای این مطل می توانید مشاهده نمایید:





ویدئو حاوی تصاویر جراحی می باشد:
نظرات
سلام دکتر
وقتتون بخیر
دکتر چند درصد احتمال عود کردن تومور خوش خیم شوانومای (توده کمری) بعد از عمل جراحی وجود دارد.